We will be closed from 17th December and will re-open on 5th January 2026. In an emergency, please call us at (07) 4951 4100 press 1 to leave a message or press 2 to be put through to after hours emergency contact. We wish you and your families a safe and very Merry Christmas and a Happy New Year!
At Torque Orthodontics,
We’re a team you can trust.
Creating confident smiles with specialist orthodontic care
Book an Appointment
0% Finance Plans & Flexible Payment Options
Treatments from $70 PER WEEK
Get straight teeth without braces
Yes, you read that correctly! At Torque Orthodontics, we use Invisalign® treatment to shape beautiful, straight smiles without the need for braces.
Invisalign® for adults
A discreet solution for young smiles
Invisalign® clear aligners are a removable, comfortable treatment option for children and teens. They even have special features designed specifically for growing smiles.
Invisalign® for children
Traditional braces with a modern twist
At Torque Orthodontics, we use self-ligating braces to offer our patients a more comfortable and convenient braces treatment experience.
Braces for adults
Building healthy smiles from the start
We have many orthodontic solutions to help shape growing smiles and correct alignment issues. Learn more about our brace treatment options for children and teens.
Braces for children
DENTAL MONITORING
Enjoy fewer appointments and better communication
With Dental Monitoring technology, we can more easily be in touch with our patients and track their progress remotely. This means you can achieve a straighter smile with fewer visits to our practice.
Dental Monitoring
COSTS
Tailored and transparent treatment pricing
At Torque Orthodontics, we strive to make receiving high-quality orthodontic care as cost-effective as possible. To help with this, we offer our patients:
Discounts for
upfront payments
Flexible interest-free
payment options
Family
discounts
affordable
monthly payment
Reason to choose Torque Orthodontics
We are committed to providing each patient with individualised, exceptional orthodontic care. Here are a few reasons why you should consider Torque Orthodontics for the care of your smile:
30+ years of orthodontic experience
High-quality treatment with Specialist Orthodontists
Great location &easy parking
Tailored treatment plans and pricing
New, beautiful facility
Fully accessible practice
Affordable interest-free payment plans
Friendly andhelpful team
MEET THE TEAM
Our friendly team of professionals is ready to welcome you
Meet the helpful team at Torque Orthodontics who will take you through your treatment from start to finish.
Meet the team
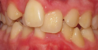
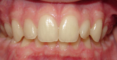
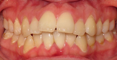
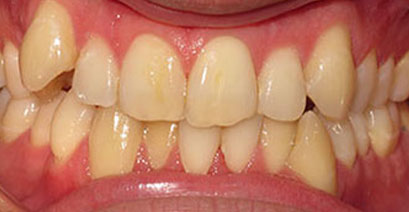
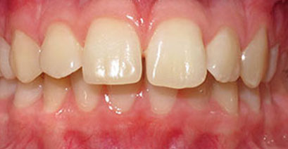
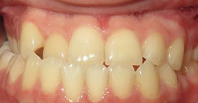
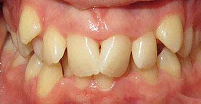
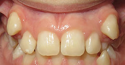
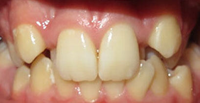
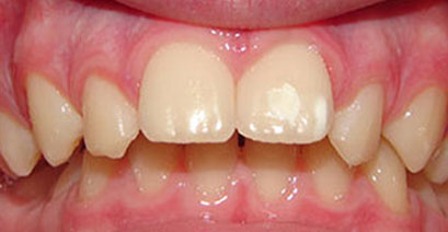
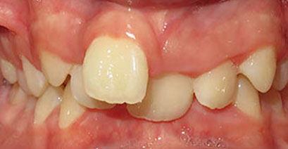
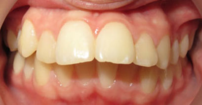
BEFORE & AFTERS
We have transformed hundreds of smiles
Your smile could be next! Take a look at these amazing smile results we have helped our patients achieve.
BOOK AN APPOINTMENT
Let us help you transform your smile
You deserve a healthy, confident smile! Get started on your smile journey by booking an appointment with one of our specialists at Torque Orthodontics in Mackay.
Book an appointment
















